

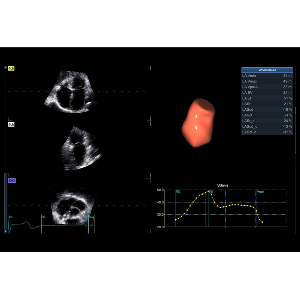
4D Auto LAQ
This semi-automatic surface detecting algorithm helps clinical users get fast, reproducible and accurate 4D quantification of the left atrium, acquired with 4D TTE probes.
SW1185LAQ | |
Applications | |
Ultrasound | |
GE HealthCare | |
GE HealthCare | |
Enter your approval number and submit to add item(s) to cart.
Please enter approval number
OR
Don't know your approval number? Call 800-437-1171
Enter opt 1 for the first three prompts, and have your System ID available.
If you add item(s) to cart and submit your order without the
approval number, GE will contact you before your order
can be confirmed for shipment.
Select your approver's name and submit to add item(s) to your cart
Please Select Approver Name
OR
Don't know your approval number? Call 800-437-1171
Enter opt 1 for the first three prompts, and have your System ID available.
If you add item(s) to cart and submit your order without
selecting an approver, GE will contact you before your order
can be confirmed for shipment.
Frequently purchased with this item
Compatible Products

Vivid E95
The VividTM E95 is a premium 4D cardiovascular ultrasound system designed to help you reach new heights of care efficiency and effectiveness.
Better image quality. Faster volume rates with higher processing power. Smaller probes.† With the Imaging. Elevated. release, cSound 2.0 facilitates a new level of image quality and 4D volume rates by expansion of the processing power and the development of new beamforming algorithms. As you navigate the increasing challenges of cardiovascular care, the Vivid™ E95 cardiovascular ultrasound system brings you the uncompromised imaging you need more than ever. From the beamformer to the image processor (GPU) to the probes, we’ve advanced key elements of the system to deliver a solution that’s Better. Faster. Smaller.
One patient, one probe The new one-probe adult 4D TTE solution on the Vivid™ E95 provides an excellent ergonomic workflow solution with uncompromised 2D, 4D, color and Doppler image quality performance at ultra-high volume rates - all with a single probe. This allows for complete and comprehensive diagnosis with one probe and avoids switching of probes, thereby reducing exam time and helping you move swiftly through your work with minimal muscular stress and strain on the operator.
Return And Exchange
GE HealthCare will accept, for return from customer, items that are in new condition, unworn, unaltered and free of damage. Items cannot be returned or exchanged beyond 30 days from customer&rsquo